Manşetler
Günün Haberleri
Arşiv
Sitene Ekle
Güncel
Sağlık
Ekonomi
Asayiş
Spor
İstanbul
17 °C
24
21:31
Kipaş İstiklal Spor, Namağlup Konya’yı Devirdi!
21:30
Onikişubatspor, Deplasmanda Malatyaspor’u 2-0 Mağlup Etti
21:27
Kahramanmaraşspor Son Dakikada Puanı Kurtardı: 1-1
21:15
AKEDAŞ İstiklalspor, Bursaspor Deplasmanında Uzatmalarda Yıkıldı: 2-1
14:15
Kahramanmaraş’ta Trafik Kazası: 75 Yaşındaki Sürücü Hayatını Kaybetti
13:47
13. Uluslararası Türk Halkları Geleneksel Spor Oyunları Sempozyumu Gerçekleşti
13:31
Mehmet Akif Mahallesi’nde Asfalt Mesaisi Sürüyor
13:27
Dulkadiroğlu’nda Yol Seferberliği Sürüyor
13:21
Andırın’da 2 Kilometrelik Arter Yenilendi
09:10
Andırın’da Kaybolan 17 Yaşındaki Miraç Sağlam, Ormanlık Alanda Ölü Bulundu
Günün tüm
haberleri
Anasayfa
Sağlık
Sağlık
Dr. Yonucu, “Fizik tedavi pek çok hastalığın tedavisinde destekleyici rol oynuyor
Uzmanı Dr. Mustafa Apa, “Sonbaharda göz hastalıklarına dikkat”
Riskli Operasyon Kahramanmaraş’ta başarıyla gerçekleştirildi
Prof. Dr. Ateş, Koronavirüs ve Grip Arasındaki farkı anlattı
Prof. Dr. Subaşı, “Her ağrı meme kanserini işaret etmeyebilir”
Dr. Demir, “Saç dökülmesi kök hücre yöntemiyle engellenebilir”
Dr. Tohma, “Sağlıklı bir gebelik için vücut kitle indeksi 18,5 ile 25 arasında olmalı”
Dr. Olur, “D vitamini eksikliği kalp ve damar rahatsızlıklarına neden olabilir”
Menisküs ve kalça kireçlenmelerinde kök hücre tedavisi
Profesör Acıpayam ’Dünya Kalp Günü’ kapsamında önemli uyarılarda bulundu
İlk Kumar Bağımlılığı Tedavi Merkezi açıldı
Dr. Zafer Berber: Bebeklik döneminde kakada kan ve mukusa dikkat
Dr. Demir’den pandemide ‘burun estetiği ameliyatı’ uyarısı
Diyet Restorant Foodwell Kahramanmaraş’ta açıldı
Dr. Selman’dan beyin gelişimi ve görme bozukluğuna karşı omega önerisi
Diyetisyen Balcı uyardı: 'Bebeğinize 1 yaşından önce inek sütü vermeyin'
Beyin ve Sinir Cerrahı Yılmaz, “Felcin en önemli nedeni yüksek tansiyona dikkat”
Dr. Marangoz, “Okullar açılmasıyla göz muayenesine giden çocuk sayısı arttı”
İl Hıfzıssıhha Kurulu Üyesi Prof. Ateş, yüz yüze eğitim ile ilgili uyarılarda bulundu
Dr. Akyılmaz: Sepsis hastalığında erken tanı çok önemli
Uzman Dr. Ömer Akçal: 10 çocuktan biri astım hastası
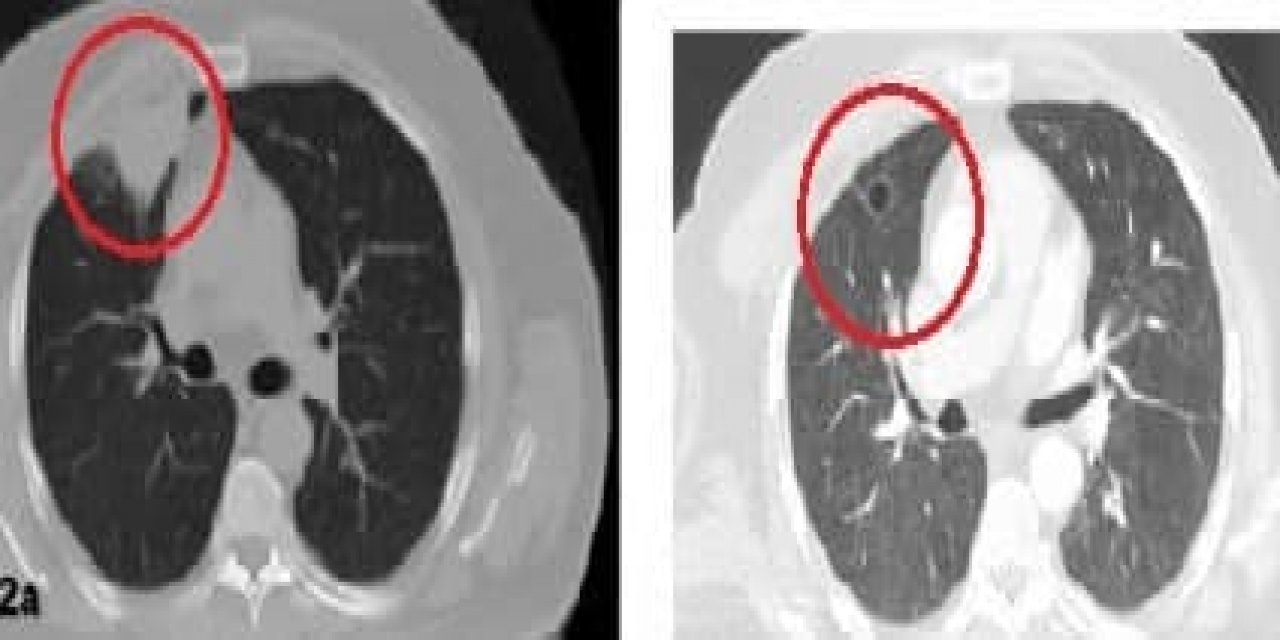
Korona virüs akciğer kanserini taklit etti
Sağlık Bakanı Koca Sular Akademi Hastanesi’nin Açılışına Katıldı
Fizyoterapist Kalkan, Dünya Fizyoterapi Gününün önemine değindi
Dr. Erdoğan “Halk Sağlığı Haftası” ile ilgili Bilgilendirmede bulundu
Doç. Dr. Sarıca varis’te Güncel Tedavi Yöntemlerini anlattı
"Endoskopik Damar Çıkarma" yöntemi ile sağlığına kavuştu
Yağ yakımını hızlandıracak 11 püf nokta!
Aile Hekimliğinde Check-up zorunlu hale getirildi!
Doç. Dr. Gümüşer Dünya Hepatit Günü bilgilendirmesi yaptı
Kan şekeri düşüklüğü nedir? nasıl beslenmek gerekir?
Beyin kanaması belirtileri neler? Yüksek tansiyona dikkat!
Doç. Dr. İnanç uyardı: Aşırı Sıcaklara Dikkat!
Kalp Spazmı nedir?
Dikkat! Akıllı telefonlar dopamin ve kortizol seviyesini yükseltiyor
Yaz sıcaklarına karşı alınması gereken 7 önlem!
Doktor doktor gezen hasta KSÜ’de sağlığına kavuştu
Elbistan’da kaynak suyuna içilmez raporu
Yüzde 100 meyve suyu gerçekten katkısız mı?
Mide botoksu nedir?
Çocukların bağışıklık sistemi neden zayıf olur?
Aycan İşitsel Beyin Sapı İmplantlarının durması konusunu dile getirdi
Diş sıkma sorununun en büyük nedeni stres!
Sağlık çalışanlarına Ülkü Ocağı ve Türk Sağlık Sen destek ziyareti
Kahramanmaraş’ta 39 yatak kapasiteli rehabilitasyon merkezi açıldı
Dr. Şahin ‘21 Haziran Dünya ALS Günü’ ile ilgili bilgilendirmede bulundu
Dut meyvesinin 9 önemli faydası nelerdir?
Epilepsi nöbeti (sara krizi) geçiren birine nasıl müdahale edilmelidir?
11
12
13
14
15
16
17
Haberler
Son Haberler
Manşetler
Güncel
Sağlık
Ekonomi
Asayiş
Spor
Politika
Yerel
Dünya
Çevre
Magazin
Kültür Sanat
Teknoloji
Eğitim
Diğer İçerikler
Foto Galeri
Web Tv
Gazete Manşetleri
Kurumsal
Künye
İletişim
Gizlilik İlkeleri
Kullanım Şartları
Geliştiriciler İçin